All on 6 Dental Implant: All That You Need to Know

The All-on-6 dental implant system is a restorative solution for people missing most or all of their teeth. Unlike the All-on-4 method, this uses six implants per arch to support a full set of prosthetic teeth, hence allowing greater stability and support, especially in lesser bone densities or more extensive tooth losses. It has been designed to restore both functionality and aesthetic appearance to your smile.

All on 6 Dental Implant: All That You Need to Know

What is All-on-6 Dental Implant ?

All-on-6 dental implant is a full-mouth restoration treatment whereby one full arc is fixed on six implants. Being the perfect option for those with some kind of moderate bone loss, it adds additional implants that grant more durability and stability.

%10 Discount
12.500 £

11.250 £


6 Implant - 24 Zirconium Crowns
All Inclusive Package Hotel Accommodation, VIP Transportation

All-on-6 Dental Implant Advantages

Improved stability: With more implants, there will be better support for the prosthetic teeth, with a reduced possibility of denture movement or shifting. 

Long-term success: If taken good care of, All-on-6 implants can last throughout one's life. 

Natural look and feel: The fixed prosthesis is designed to have a custom fit so that the natural teeth can be emulated in function and appearance. 

Comfortable: Contrary to dentures, the prosthesis will not rub against the gums. Thus, it gives more comfort. 

No bone grafting: Because of the positioning of the implants at strategic positions, there are many instances where it will not be necessary to undergo bone grafting.

 

Interested in All-on-6?

The All-on-6 Dental Implant Procedure

Consultation: The full consultation, including 3D scans, is done in order to assess the jawbone for the best implant placing. Placement Surgical placement of six titanium implants in each arch was done. 

Provisional Prosthesis: A set of teeth will be fixed on the implants on the same day, providing immediate function and aesthetics. 

Healing Phase: The implants should integrate with the jawbone through the process of osseointegration and this usually takes a few months. 

Final Prosthesis: After the patient has healed, a permanent prosthesis is fitted, tailored to the individual's needs.

 

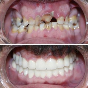
  • Before All on 6 Implant After
    All on 6 Implant
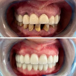
  • Before All on 6 Implant After
    All on 6 Implant
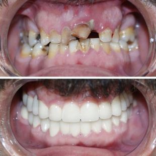
  • Before All on 6 Implant After
    All on 6 Implant
  • Before All on 6 Implant After
    All on 6 Implant
  • Before All on 6 Implant After
    All on 6 Implant

Conclusion

The All-on-6 dental implant system is an excellent option for patients who are looking for a more stable, long-term solution for significant tooth loss. This technology involves six implants per arch for greater support and durability, as the outcome will be more comfortable and natural than conventional dentures. If taken care of properly, All-on-6 implants can last a lifetime and restore both functionality and aesthetics in your smile. All-on-6 is a workable and long-lasting treatment option for patients seeking confidence and an improved quality of life.

 

Recovery Time

  • Immediate Post-Procedure (First 24-48 Hours)
    Take it easy and avoid physical activity. Your body needs to start healing.
    You will feel mild pain, swelling, and bruising around the jaw. Painkillers will be prescribed or recommended.
    Apply ice packs in order to reduce swelling during the first 24 hours.
    You may experience minor bleeding in the implant sites, managed with gauze.
  • Nutrition and Diet
    A soft, easy-to-chew diet such as yogurt, soups, mashed potatoes, and smoothies should be maintained for one week.
    Plenty of fluids should be taken but not with a straw, as the suction can easily dislodge the healing implants.
    Hard, hot, or spicy foods must be avoided during the early recovery period.
  • First Week
    Initial bruising/swelling will subside after the first few days.
    Meds: Continue taking all prescribed medications to manage discomfort.
    Lightly and gently brush with a soft-bristled toothbrush, avoiding the surgical sites. Lightly rinse with a saltwater solution or a mouthwash recommended by your dentist.
  • 1-2 Weeks After Surgery
    Non-resorbable stitches may be removed at the discretion of your dentist at an after-care appointment.
    You can start to reintroduce slightly harder foods, depending on the recommendations of your dentist.
  • 1 to 3 Months Osseointegration Period
    In a few months, the implant will begin to integrate into the jawbone. Avoid putting additional pressure on the implants.
    Continue to wear the temporary prosthesis until the process of osseointegration takes place.
  • 3 to 6 Months-Final Prosthesis Placement
    Once the implant and bone integration is complete, the final prosthesis is fitted and adjusted for comfort.
    You are now able to resume normal eating and chewing with your new set of teeth.

Frequently Asked Questions

In what ways does All-on-6 differ from All-on-4?

In All-on-6 dental implant, instead of four, there are six implants used. This provides more support, especially for patients who have more bone loss or might seek extra durability. Gained additional stability can sometimes offer better long-term results.

How painful is the procedure for All-on-6 dental implant?

The surgery will be under local anesthesia or sedation. Therefore, there is very little actual discomfort during the time of the procedure. Afterward, mild pain and swelling exist, but are manageable with prescribed medication.

How long does the recovery take?

Initial recovery takes about 1-2 weeks, while full osseointegration, or the implant fusing to the bone, takes 3-6 months. After this time, one can have their final prosthesis fitted.

Can I eat normally after getting All-on-6 implants?

You will be restricted to soft foods for several weeks, especially while your implants are healing. After you have fully recovered and a final prosthesis is in place, you should be able to go back to eating most foods, though it's best to avoid extremely hard or sticky items.

How long does All-on-6 dental implant last?

All-on-6 implants can last for at least 20 years with proper care. Regular dental visits and good oral hygiene are absolutely crucial to the health of the implants.

What is an ideal candidate for All-on-6 dental implant?

Candidates who have multiple or all teeth missing in one or both arches. The candidates should have adequate density of the jawbone. Many patients seeking treatment more permanent than dentures will benefit from this modality of treatment.

What are the advantages of All-on-6 dental implant when compared with dentures?

All-on-6 dental implant offers a fixed, stable prosthesis functioning like natural teeth, thereby avoiding the problems of slipping and discomfort associated with conventional dentures.

How much does All-on-6 dental implant cost?

All-on-6 costs depend on the clinic, location, and materials, but since it has one more implant than All-on-4, it is a bit pricier. It is still a better deal compared to working with individual implant replacements of teeth.

Average costs around the world

  • Turkiye
    11,250.00 €
  • Croatia
    12,000.00 €
  • United Kingdom
    15,000.00 €
  • Poland
    13,000.00 €
Ask an Expert
  • Get Quality Treatments

    Get Quality Treatments You can get an idea of the quality of the clinics & hospitals by reading verified customer reviews of their previous experience to make your decision with confidence

  • Gain Time

    Gain Time Don't waste time checking recommendations from friends and other websites. Collect offers for your needs online and save time that you could spend with your loved ones.

  • Best-Matched Offers

    Best-Matched Offers Get personalized offers by answering a few specific questions about your treatment needs. Quickly receive the best-matched offers from over 100 clinics and hospitals

  • Be Protected

    Be Protected At every step of your journey, Wellcome preserves your experience. We'll have your back so you can get on with your work in peace.

Connect to Online Health Center Let us help!